Se trata de una persona de 64 años con comorbilidades, que se encontraba internada en grave estado, en el sector público por esa enfermedad vinculada a la bacteria legionella.

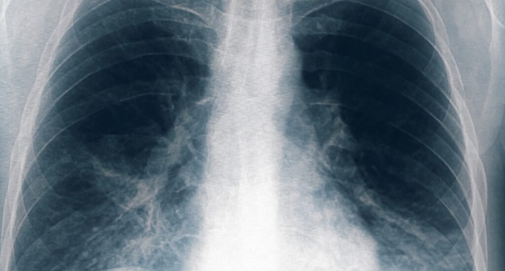
Un paciente “vinculado al conglomerado de casos de neumonía” bilateral registrados en Tucumán murió este domingo, por lo que suman cinco las víctimas fatales por esta causa, informó el Ministerio de Salud Pública provincial.
El parte agregó que “se trata de un paciente del sexo masculino de 64 años de edad, con comorbilidades, que se encontraba internado en grave estado, en el sector público” por esa enfermedad vinculada a la bacteria legionella, de acuerdo con la confirmación en los laboratorios de la Administración Nacional de Laboratorios e Institutos de Salud “Dr. Carlos Malbrán”.
El domingo la ministra de Salud de la Nación, Carla Vizzotti, confirmó que el brote de neumonía bilateral fue causado por una bacteria llamada Legionella, en base a los resultados de los estudios realizados a las muestras enviadas desde Tucumán a la Administración Nacional de Laboratorios e Institutos de Salud “Dr. Carlos Malbrán”.
“En cuatro muestras, tres respiratorias y una punción biopsia de uno de los fallecidos, se está aislando en la PCR una bacteria que se llama legionella y se está tipificando su apellido”, dijo Vizzotti.
“La sospecha es que sea un brote de Legionella Pneumophila”, indicó, y aclaró que “resta avanzar en lo que sería el diagnóstico final”, amplió Vizzotti en una conferencia de prensa en el Ministerio de Salud de Tucumán, donde estuvo acompañada por su par provincial, doctor Luis Medina Ruiz, y por la representante en Argentina de la Organización Panamericana de la Salud (OPS), Eva Jané Llopis.
La funcionaria nacional dijo que “es una bacteria que se transmite por vía inhalatoria a través del agua o aire acondicionado” y agregó que “tiene un tratamiento antibiótico y una resistencia importante en personas de riesgo, mayores de 50 años, tabaquistas, diabéticos y personas con inmunocompromiso o enfermedades respiratorias”.
Hasta el momento se identificaron once personas afectadas por neumonía bilateral causada por Legionella, en la clínica privada Luz Médica, de las cuales cinco fallecieron.
El domingo las autoridades locales habían informado del cuarto caso fatal, un hombre de 48 años afectado por la misma causa.
Se trataba de “un paciente del sexo masculino de 48 años de edad, con comorbilidades, que se encontraba internado en grave estado en el sector público”, se informó poco antes del mediodía en un comunicado oficial.
La cartera sanitaria tucumana informó el sábado la aparición del caso número 11 y dijo que “se trata de un paciente del sexo masculino de 64 años de edad, con comorbilidades, internado en grave estado con asistencia respiratoria mecánica, en el sector privado”.
El viernes, el gobierno tucumano había informado que un hombre de 81 años, con comorbilidades, fue internado en grave estado en un establecimiento sanitario del sector público con síntomas de neumonía bilateral.
El problema se hizo público el 30 de agosto pasado, cuando el ministro de Salud de Tucumán, Luis Medina Ruiz, comunicó en conferencia de prensa que había un brote de neumonía bilateral de origen desconocido.
Los primeros seis casos registrados correspondieron a cinco trabajadores de la salud y a una paciente que estaba internada en el servicio de terapia intensiva de un sanatorio privado de la ciudad de San Miguel de Tucumán, quienes iniciaron síntomas entre el 18 y el 22 de agosto, presentando fiebre, mialgia, dolor abdominal y disnea.
Ayer, luego de la reunión encabezada por Vizzotti, las carteras sanitarias consensuaron el traslado de 12 pacientes que permanecían internados por diversas patologías en el sanatorio privado donde se produjeron los contagios.
“Se trata de 12 personas alojadas en terapia intensiva y otras salas de internación que fueron derivadas al hospital Centro de Salud como parte del plan sanitario de contingencia, a raíz del brote de Legionella detectado en esa institución”, informó la autoridad sanitaria de esa provincia.
